29 Ekim Mah. 1.Cadde No:8/1A Özel Santes Ağız ve Diş Sağlığı Polikliniği, İzmir, Turkey 35663

Shape

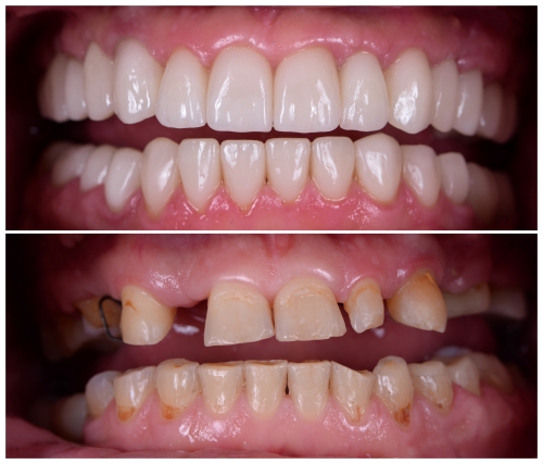
Zirkonyum ve Porselen Kaplama

Santes Ağız ve Diş Sağlığı Polikliniği olarak, estetik ve dayanıklılığı bir araya getiren zirkonyum ve porselen kaplama tedavileriyle hastalarımıza sağlıklı, doğal ve özgüvenli gülüşler kazandırıyoruz. Dişlerdeki renklenme, kırık, aşınma veya şekil bozuklukları gibi estetik sorunları kalıcı ve fonksiyonel çözümlerle gideren bu kaplamalar, diş yapısına ve hastanın ağız anatomisine özel olarak hazırlanır. Zirkonyum kaplamalar, metal içermeyen yapısıyla diş etine uyumlu, biyolojik olarak güvenli ve ışık geçirgenliği sayesinde doğal diş görünümüne en yakın çözümleri sunarken; porselen kaplamalar, yüksek estetik beklentilerde mükemmel sonuçlar sağlar. Uzman diş hekimlerimiz ve dijital altyapımız sayesinde, kişiye özel planlama ile gerçekleştirilen bu tedaviler hem sağlıklı bir ağız yapısı hem de estetik bir gülüş elde etmenizi sağlar.

Zirkonyum ve Porselen Kaplama
İmplant Tedavisi

İmplant Tedavisi

Diş implantı, kaybedilen dişin yerine estetik ve fonksiyon açısından en yakın sonucu veren modern bir tedavi yöntemidir. Titanyumdan üretilen bu vida formundaki yapılar, çene kemiğine yerleştirilerek doğal diş kökü görevini üstlenir. Bu sayede hem çiğneme fonksiyonu geri kazanılır hem de estetik bir gülüş elde edilir. Tek diş eksikliğinden tam dişsizlik durumlarına kadar geniş bir yelpazede uygulanabilen implantlar, uzun ömürlü ve güvenilir bir çözümdür.

İmplant tedavisi, genellikle lokal anestezi altında, konforlu ve ağrısız bir şekilde gerçekleştirilir. Tedavi sürecinde çene kemiğinin yeterli hacimde ve yoğunlukta olması büyük önem taşır. Gelişen teknoloji sayesinde artık kemik yetersizliği olan hastalarda da ileri cerrahi yöntemlerle implant uygulamak mümkündür. Doğru planlama, düzenli kontroller ve iyi ağız hijyeni ile implantlar uzun yıllar sorunsuz bir şekilde kullanılabilir.

Estetik Gülüş Tasarımı

Santes Ağız ve Diş Sağlığı Polikliniği olarak, estetik ve dayanıklılığı bir araya getiren zirkonyum ve porselen kaplama tedavileriyle hastalarımıza sağlıklı, doğal ve özgüvenli gülüşler kazandırıyoruz. Dişlerdeki renklenme, kırık, aşınma veya şekil bozuklukları gibi estetik sorunları kalıcı ve fonksiyonel çözümlerle gideren bu kaplamalar, diş yapısına ve hastanın ağız anatomisine özel olarak hazırlanır. Zirkonyum kaplamalar, metal içermeyen yapısıyla diş etine uyumlu, biyolojik olarak güvenli ve ışık geçirgenliği sayesinde doğal diş görünümüne en yakın çözümleri sunarken; porselen kaplamalar, yüksek estetik beklentilerde mükemmel sonuçlar sağlar. Uzman diş hekimlerimiz ve dijital altyapımız sayesinde, kişiye özel planlama ile gerçekleştirilen bu tedaviler hem sağlıklı bir ağız yapısı hem de estetik bir gülüş elde etmenizi sağlar.

Estetik Gülüş Tasarımı
WhatsApp
TR TR
TR Türkçe
EN English